Before & After Dental Images
We are proud to be able to help our patients achieve their oral health goals. Everyone deserves a beautiful smile!
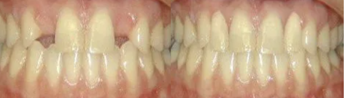
Bridge Work
Whitening of Discolored Crowns
Implant Crowns
Multiple Crowns
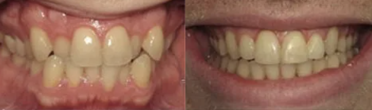
Orthodontics
Silver Filings Replaced with White
Teeth Whitening
Worn Teeth to Crowns